2024年11月14日 /更新日:2025年7月23日
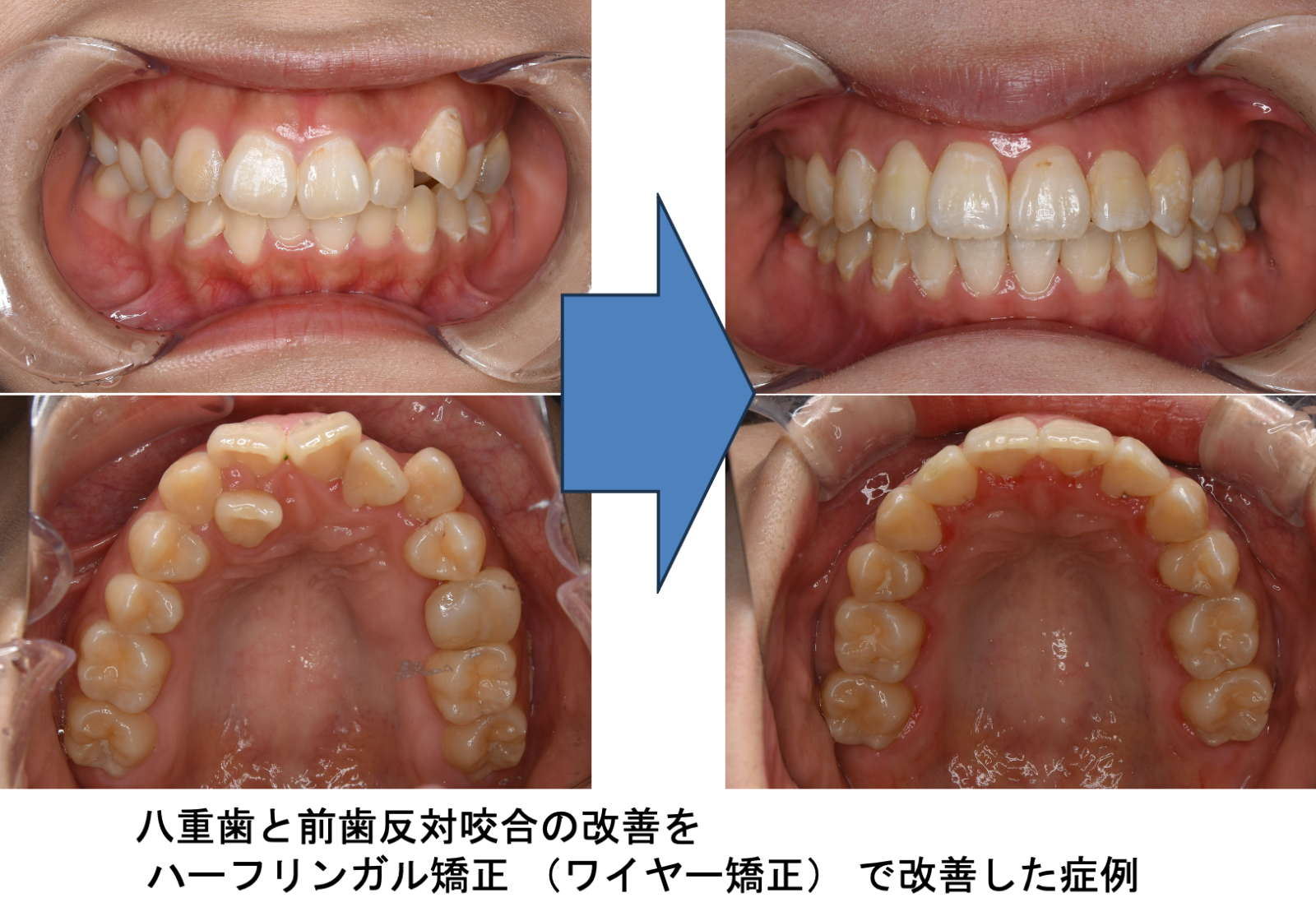
ガチャ歯のガタガタの治療 矯正での並びの治し方
#医院ブログ
当院では、患者さんが抱えていらっしゃるお口のお悩みや疑問・不安などにお応えする機会を設けております。どんなことでも構いませんので、私たちにお話ししていただけたらと思います。
ご興味がある方は下記からお問い合わせください。
