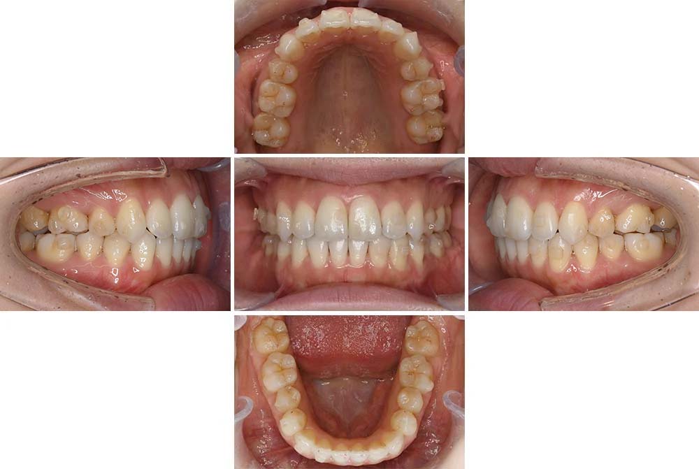
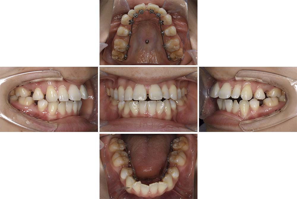
「歯並びを整えたいけれど、矯正装置が見えるのは気になる…」
そんなお悩みをお持ちの方におすすめなのが、舌側矯正(裏側矯正)です。
歯の裏側に装置をつけるため、周囲に気づかれにくく、見た目を気にせずに矯正治療が可能。接客業や人前に立つ機会が多い方でも、自然な笑顔をキープしながら歯並びを整えられます。
見た目だけでなく、虫歯になりにくい、舌の動きを整え後戻りしにくい
といったメリットも。
当院では、実際の症例をもとに、舌側矯正(裏側矯正)の治療の流れや効果を詳しくご紹介しています。「美しい歯並びを手に入れたい」とお考えの方は、ぜひご参考ください。





