

内澤 朋哉Tomoya Uchizawa
マウスピース矯正(インビザライン)/ワイヤー矯正の
が担当




は矯正専門です
診療科目「矯正歯科」を掲げる歯科医院(歯科クリニック)には2つパターンが存在することが以外と知られていません。矯正専門歯科は、矯正治療のみを専門に行うクリニックです。
| 診療科目 | 一般歯科(総合歯科) | 矯正専門歯科 |
|---|---|---|
| 一般歯科 (むし歯、歯周病、入れ歯、審美など) |
○ | × |
| 小児歯科 | ○ | × |
| 口腔内外科 (インプラントなど) |
○ | × |
| 矯正歯科 | △ | ◎ |
| 一般歯科 | 矯正専門歯科 |
|---|---|
| △ 対応していないことが多い |
〇 |
| 一般歯科 | 矯正専門歯科 |
|---|---|
| × 対応していないことがほとんど |
〇 |
| 一般歯科 | 矯正専門歯科 |
|---|---|
| △ 軽度の不正咬合まで対応 |
〇 |
※ 一般的なものです。すべての歯科医院に当てはまるとは限りません。

動画シミュレーション(※希望者)
精密検査(CT画像)
口腔内スキャン(iTero)
カウンセリング
に
円
回分割)



当院ではマウスピース矯正の他、ワイヤー矯正(表側/裏側)にも対応していますので、どのようなケースでも治療可能です。

出っ歯
(上顎前突)
八重歯・叢生
すきっ歯
(空隙歯列)
過蓋咬合
開咬
受け口
(下顎前突)
Eラインも
整えられたらな…
スマイルラインを
獲得したい…
ガミースマイルも気になる…
適応症例は限定されますがEライン・スマイルライン・ガミースマイルも整うことがあります!

Eラインとは、鼻先と顎先のラインのことです。このラインが獲得できると、バランスの整った顔立ち(フェイスライン)になります。かわいい、キレイ、かっこいい顔立ちですね。当院では、ただ歯をキレイに並べるだけでなく、顔貌の見た目も意識した矯正歯科治療を行います。※適応症例は限定されます。



実は「綺麗な笑顔」には基準があります。それは、笑った時に上の歯の先端を結んだ曲線が下唇のラインに揃う状態。これが最も理想的とされています。当院では、この「スマイルライン」も意識した治療を行います。※適応症例は限定されます。




歯がほとんど
動かなかった…
歯が後戻りしてきた…
ケースにもよりますが、比較的
で再矯正致します!
世田谷区の矯正歯科医院「三軒茶屋デンタルデザイン歯列矯正歯科」。当院では矯正歯科治療を失敗したと思われている方向けの矯正プランもご用意しています。

せっかく、矯正歯科治療を行ったのに、矯正治療の本来の目的(美しい歯並び/噛み合わせ/顔貌変化)が達成できないまま、矯正治療を諦めてほしくありません。可能な限り少ない負担で再矯正をご提案いたします。相談+検査+診断まで「無料」で行っていますので、まずはご相談ください。
東京都世田谷区三軒茶屋駅徒歩2分の「三軒茶屋デンタルデザイン歯列矯正歯科」では、患者様のニーズに合わせた矯正治療プランをご用意しています。短期スピード矯正、見えない裏側矯正(ハーフリンガル・フルリンガル)・マウスピース型矯正歯科装置(インビザライン)、痛みを抑えた矯正、アンカースクリューを用いた矯正、ブライダル矯正プラン、就活矯正プラン、後戻り矯正、前歯の部分矯正、小児矯正(子供の矯正/MFT)等。気になるプランをご覧ください。

透明なマウスピース(インビザライン)を使用します。取り外しが簡単で、治療中も他人に気づかれにくくなります。

歯の裏側に装置をつけるリンガルブラケット矯正(裏側矯正)。矯正装置の中でもっとも目立ちにくい装置で、当院ではハーフリンガルをご提案しています。

前歯だけ、すきっ歯だけ、出っ歯だけなど、ピンポイントで歯並びを整える部分矯正を行っています。

痛みや違和感を軽減させるセルフライゲーションブラケットを使用した矯正治療を行っています。

アンカースクリューを固定源として、可能な限り非抜歯での治療計画を立案。治療期間短縮効果も見込めます。

後戻りした歯の再矯正にも対応しています。

出っ歯や、受け口などを改善することで、顔貌(横顔・笑顔)をきれいにします。

当院の小児矯正は、単に歯を並べるのではなく、機能的な噛み合わせ重視、お口の周りの筋機能へもアプローチします。


WEB予約

カウンセリング(無料)

精密検査(無料)

詳しい説明(無料)

治療開始
キレイになる過程が分かる
動画を無料でご提供


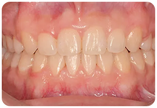
出っ歯と捻転をマウスピース矯正で整えたケース。治療期間7か月。治療費77万円。
マウスピースを1日20時間入れなけばならないので、
外す時間が長いと治療が進まない可能性がある。
治療後はリテーナーを装着しないと後戻りしてしまうリスクがある


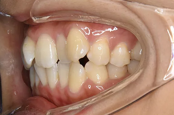
叢生とすきっ歯をワイヤー矯正で整えたケース。治療期間15か月。治療費77万円。
治療初期の段階では痛みや不快感が生じる可能性がある。
個人差により予想された治療期間より長くなる場合がある。
治療後はリテーナーを装着しないと後戻りしてしまうリスクがある。


叢生をマウスピース矯正で整えたケース。治療期間13か月。治療費77万円。
長時間マウスピースを装着するため、むし歯や歯周病のリスクがある。
治療後はリテーナーを装着しないと後戻りしてしまうリスクがある。


すきっ歯をワイヤー矯正で整えたケース。治療期間7か月。治療費77万円。
ワイヤーの交換時に1~2日の間痛みを感じる場合がある。
装置が口の中の粘膜にあたって口内炎になりやすくなる。
また、装置に食べ物がひっかかったり、装置が付いているために
歯のブラッシングがしにくいということも起こる。
治療後はリテーナーを装着しないと後戻りしてしまうリスクがある。

矯正治療を望まれる方は、「理想」を持って来院されます。
この理想には、コンプレックスからの解放、
もっとこうしたいという強い気持ちがあります。
つまりこの理想は、患者様の「こころからの願望」なのです。
いかに、「患者様の心に寄り添い、
情熱をもって理想を共有できるか」
この気持ちがなければ、「患者様の本当の満足」を
達成できないと私は考えます。


