三軒茶屋デンタルデザイン歯列矯正歯科を運営する医療法人D.D.Orthoが監修しています。

監修者
内澤 朋哉
経歴
| 2009年 | 北海道医療大学歯学部卒業 |
|---|---|
| 2009年 | 北海道医療大学院歯学研究科 |
| 2014年 | 北海道医療大学歯学部歯科矯正学講座 |
| 2015年 | こうざき歯列矯正歯科クリニック勤務 |
| 2017年 | 三軒茶屋デンタルデザイン歯列矯正歯科開院 |
ハーフリンガル矯正とは?特徴・メリット・デメリットを解説
「矯正したいけれど装置が目立つのが気になる」
そのような方に選ばれているのが
ハーフリンガル矯正です。
ハーフリンガル矯正とは
・上顎は裏側矯正
・下顎は表側矯正
にすることで
目立ちにくさと治療効率のバランスを取った矯正方法です。
この記事では
・ハーフリンガル矯正とは
・費用
・メリット・デメリット
・どんな人に向いているか
について矯正専門クリニックの視点から解説します。

ワイヤー矯正は歯の表面にマルチブラケットをつける表側矯正、歯の舌側、裏側(リンガル)にマルチ ブラケットの装着を行う裏側矯正(舌側矯正)があります。表側矯正治療と裏側矯正治療(リンガル)のハーフアンドハーフがハーフリンガル矯正となります。
ハーフリンガル矯正はメリットの多い矯正治療方法となります。
ハーフリンガル矯正とは?
ハーフリンガル矯正とは、歯の表側と裏側の両方に矯正装置を取り付ける矯正方法です。ハーフリンガル矯正は、特に目立ちにくい矯正を希望する方に適しています。具体的には、前歯など見えやすい部分には裏側(舌側)に装置を付け、奥歯など見えにくい部分には表側(唇側)に装置を付けることで、見た目の自然さを保ちながら矯正を行います。
ハーフリンガル矯正の費用
一般的な相場
表側矯正
70〜100万円
ハーフリンガル
100〜130万円
フルリンガル
120〜150万円となります。
当院での
ハーフリンガル矯正治療費用について
矯正の費用 高いの? 矯正 費用 抑えられない? 矯正 費用 分割できる? 矯正 費用 安くできないの?などのご質問があります。
インビザラインは治療費用は定額制となっています。 費用(値段)についてご覧ください。
https://www.sangenjaya-ortho.com/price/(費用について)
費用についてご不明な点等がありましたらご連絡ください。

以上が 矯正の費用についてでした。
ハーフリンガル矯正のメリット
目立ちにくい
ハーフリンガル矯正は上顎の前歯の矯正器具が裏側(リンガル)に取りつけられるため、ハーフリンガル矯正は表側矯正に比べ装置が見える程度が抑えられ、日常生活での見た目が非常に自然です。写真を撮る際や、人と話す際に矯正装置が見えにくいという大きなメリットがあり、おすすめです。
値段がおてごろ
ハーフ リンガル矯正は、裏側矯正と表側矯正のコンビネーションなので、費用の平均の相場も上下裏側矯正と上下表側の矯正の間の費用となります。つまり上下裏側矯正(リンガル)より安く治療を受けれます。
快適性
ハーフリンガル矯正では上顎が裏側(リンガル)に装置があることで、口の中で唇や頬の内側に装置が当たりにくく、口内炎や痛みなどのトラブルが少なくなります。
効果的な矯正力
裏側と表側の両方に装置を取り付けることで矯正力が均等にかかり、効果的に歯を動かすことができます。これにより治療期間が短縮されることもあります。
発音の変化が少ない
完全なリンガル矯正(上下裏側矯正)に比べ、ハーフは矯正では舌が装置に当たる面積が少ないため、滑舌、発音の変化が少なくて済みます。
個別対応が可能
患者一人ひとりの歯並びや口腔内の状況に応じて、最適な矯正計画を立てることができます。これにより、より効率的で効果的な治療が期待できます。
心理的な安心感
ハーフリンガル矯正は見た目を気にせずに矯正治療を続けられるため、特に社会的な場面でのストレスが軽減されます。自己肯定感の向上や、治療への積極的な取り組みを促す要因にもなります。

ハーフリンガル矯正のデメリット
費用が高い(値段)
通常の表側矯正(表側)に比べて、裏側矯正(リンガル)は費用(値段)が少し高額になることが多いです。これは、裏側(リンガル)に取りつける装置が特殊でセットアップやジグの製作費用(値段)がかかるためです。
違和感や不快感
裏側(リンガル)の装置に舌が触れるため、最初のうちは違和感を感じることがあります。この違和感は時間と共に慣れることが多いですが、発音に影響が出ることもあります。
メンテナンスの難しさ
裏側(リンガル)に装置があるため、歯磨きや食事の際に食べ物が装置に詰まりやすくなります。特に、装置の清掃が難しく、歯磨きに時間がかかることがあります。口腔内の衛生状態を保つために、丁寧なブラッシングと定期的な歯科医院でのクリーニングが必要です。
装置の調整が複雑
裏側(リンガル)の装置は調整が難しく、装置の位置を細かく調整するために時間がかかることがあります。また、調整のたびに患者が不快に感じることもあります。
当院では、十分の経験や、技術を有した歯科医師が治療にあたりますので、ご安心ください。

ハーフリンガル矯正の特徴
審美性: 前歯の装置が裏側(リンガル)にあるため、笑ったり話したりしても矯正装置がほとんど見えません。
効果的な治療: 表側と裏側の両方に装置を付けることで、矯正力を効率的に利用できます。
快適性: 裏側(リンガル)に装置があるため、装置が唇や頬に当たることが少なく、口内炎などのトラブルが少ないです。
ブラケットは裏側(リンガル)につく場合は金属ののブラケットを使用します。そのため金属アレルギーの場合はハーフでの矯正が難しい場合がありますが、その場合はインビザラインが向いているかもしないので一度検討してもいいかもしれません。
裏側矯正装置の種類の紹介
裏側矯正(リンガル)で使用する装置のひとつに、歯に直接接着されるブラケットがあります。
各社色々なブラケットが開発製造されているため、多種多様なブラケットを紹介します。
アリアス(ALIAS)
STBの後発型の裏側矯正(リンガル)のブラケットです
CLIPPY L(クリッピーL)
裏側矯正装置の厚みが非常に薄く、装着後の違和感が軽減されます。
裏側矯正では様々なブラケットが使用されます。
当院では症例に応じて最適な装置を選択しています。
ハーフリンガル矯正と裏側矯正の違い
歯列矯正の中でも、装置が目立ちにくい矯正方法として人気があるのが
「ハーフリンガル矯正」と「裏側矯正(舌側矯正)」です。
どちらも歯の裏側に装置をつける矯正方法ですが、
装置をつける位置や費用、治療の特徴に違いがあります。
ここでは、ハーフリンガル矯正と裏側矯正の違いについて解説します。
ハーフリンガル矯正とは
ハーフリンガル矯正とは
上の歯は裏側、下の歯は表側に装置をつける矯正方法です。
具体的には次のようになります。
-
上の歯:裏側矯正
-
下の歯:表側矯正
前歯は上の歯が見えることが多いため、
上だけ裏側にすることで見た目の目立ちにくさを保つことができます。
一方で、下の歯は表側に装置をつけることで
-
発音の違和感が少ない
-
治療の操作性が良い
-
費用を抑えられる
といったメリットがあります。
裏側矯正(舌側矯正)とは
裏側矯正とは
上下すべての歯の裏側に装置をつける矯正方法です。
-
上の歯:裏側
-
下の歯:裏側
装置が歯の裏側にあるため、
正面からほとんど見えない矯正方法として知られています。
人前に出る仕事の方や、装置をできるだけ見せたくない方に選ばれることが多い治療方法です。
ハーフリンガル矯正と裏側矯正の違い
ハーフリンガル矯正と裏側矯正の違いをまとめると次の通りです。
| 項目 | ハーフリンガル矯正 | 裏側矯正 |
|---|---|---|
| 装置の位置 | 上:裏側 / 下:表側 | 上下とも裏側 |
| 見た目 | ほとんど目立たない | ほぼ完全に見えない |
| 費用 | やや抑えられる | 比較的高額 |
| 発音 | 違和感が少ない | 慣れるまで話しにくい |
| 違和感 | 比較的少ない | やや強い場合あり |
どちらの矯正方法を選ぶべき?
どちらが良いかは、歯並びや希望によって変わります。
ハーフリンガル矯正がおすすめの方
-
装置を目立たせたくない
-
費用をできるだけ抑えたい
-
発音への影響を少なくしたい
裏側矯正がおすすめの方
-
完全に目立たない矯正が良い
-
人前に出る仕事をしている
-
審美性を最優先したい
矯正方法は歯並びによって変わります
矯正治療では、歯並びの状態によって
適している矯正方法が異なります。
そのため、
-
ハーフリンガル矯正が良いのか
-
裏側矯正が良いのか
は、実際に歯並びを確認した上で判断することが大切です。
当院ではカウンセリングで
-
治療方法
-
治療期間
-
費用
について詳しくご説明しています。
目立ちにくい矯正をご検討の方は、お気軽にご相談ください。
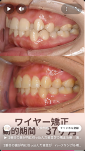
ハーフリンガル矯正で当院で行なった矯正症例、矯正治療の流れを紹介。
症例①:八重歯と出っ歯のハーフリンガル矯正
患者:20代女性
主訴:八重歯
治療方法:ハーフリンガル矯正
抜歯:小臼歯4本
特徴
・八重歯。
・上顎の前歯一本が内側に入っている。
・左上に乳歯が残っている。
方針
Step1: 上顎の犬歯の後方移動
Step2: 内側に入っている歯の位置の改善
Step3: 全体的な凸凹とかみあわせの改善
使用した矯正装置
・ハーフリンガル(目立つことが抑えられる)裏側矯正の装置としてクリッピーのマルチブラケット 表側矯正はエスタMBを使用してます。 セットアップとジグは歯科技工士と共に作成します。
(上顎:裏側 下顎:表側 のワイヤー矯正)
・歯科矯正用アンカースクリュー(バイオデントのISA 2.0mm * 6mm)

八重歯と前歯反対咬合の改善を ハーフリンガル矯正(ワイヤー矯正)で改善した症例
患者様は20代 女性で、東京都渋谷区在中の方でした。上の前歯の八重歯、上の歯が一本うちに入っていること、また前歯が突出したり入ったりとのでこぼこ(叢生)も改善したいとのことで当院の相談を受診されました。ご希望としては、目立たない矯正治療がよく、インビザライン(マウスピース型矯正装置)は性格的に毎日継続して決まった時間インビザラインを使用できる自信がないとのこと、また治療費用は抑えることも希望とのことで目立つ表側矯正と比較し今回の矯正を選択されました。
治療の流れを説明した上で、今回のケースでは歯の配列スペースがないため、治療法を抜歯として、上の中に入っている歯を選択すると、治療期間は短縮できたのですが、最終的な仕上がりの左右対称性を考慮し、小臼歯抜歯を選択されました。
治療期間約3年で咬合および歯の並びが改善したため、動的治療を終了とした。
動的治療後は、ちゃんとした歯並びや、咬合を維持できるように、透明で目立ちにくいマウスピース型の保定装置を、取り外しのできない歯の裏側(リンガル)にワイヤーを装着し、歯並びを維持できるように保定を行っています。
動的治療後6ヶ月ら12ヶ月は食事と歯磨き以外の時間は使用してもらい、動的治療1年半になったら就寝時使用と徐々に使用時間を減少させていく予定となっております。2年経過後は、定期的な通院をするかご希望を伺って確認しております。
ちなみに、今回の症例のように、上顎の前歯が一本内側に入っている状態だと、一度犬歯(糸切り歯)を後方に移動して、中に入っている歯が並ぶスペースを確保してから、前方に移動させて、歯を並べるため、一般的な八重歯の治療等に比べると治療期間が延長する可能性が上がります。。
リスクと副作用:歯根吸収、歯肉退縮、後戻り、虫歯、痛み、歯肉炎、歯槽膿漏、歯周病、アンキローシス、歯髄充血
矯正専門クリニックの当院ではこのような治療が可能となります。
一度、当院 https://www.sangenjaya-ortho.com にご相談ください
症例②:前歯叢生(八重歯)のハーフリンガル矯正
患者:40代女性
主訴:前歯のでこぼこ
治療方法:ハーフリンガル矯正
抜歯:小臼歯4本

神奈川県在住の40代女性前歯のでこぼこを改善したく当院に来院されました。
治療としては目立たない矯正装置で費用は抑えて安い治療がいいとのことでハーフでの矯正となりました。
歯の並ぶスペースが不足していたため、上下左右の4本を抜いた治療となりました。
抜歯スペースを有効利用するため、歯科用のアンカースクリューを使用しています。
治療としては、期間がかかりましたが、最終的にちゃんと噛んで、スペースも閉鎖して並んだため、矯正装置の除去となりました。
動的治療後は、ちゃんとした歯並びや、咬合を維持できるように、透明で目立ちにくいマウスピース型の保定装置を、取り外しのできない歯の裏側にワイヤーを装着し、歯並びを維持できるように保定を行っています。
動的治療後6ヶ月ら12ヶ月は食事と歯磨き以外の時間は使用してもらい、動的治療1年半になったら就寝時使用と徐々に使用時間を減少させていく予定となっております。2年経過後は、定期的な通院をするかご希望を伺って確認しております。
リスクと副作用:歯根吸収、歯肉退縮、後戻り、虫歯、痛み、歯肉炎、歯槽膿漏、歯周病
症例③:前歯歯列不正のハーフリンガル矯正
患者:20代女性
主訴:前歯のでこぼこ
治療方法:ハーフリンガル矯正
抜歯:小臼歯4本


患者様は20代女性、前歯のでこぼこ(叢生)の改善がしたく、また口唇の突出、上下顎前突の改善、口ゴボの改善もしたく当院にご来院いただき歯列矯正の相談をさせていただきました。
使用する歯列矯正装置は、目立たない歯列矯正装置でハーフリンガル矯正を選択されました。
今回の場合だと歯を並べるスペースが不足しているため、抜歯での治療となりました。抜歯として中間の歯を上下左右で1本ずつ抜歯しました。
上顎に関しては、内に入った歯を並べるため最初は犬歯を牽引し、2番目の歯を配列できるスペースを作成後に2番目の歯を並べるので、今回の場合は一般的には治療期間が通常の4本抜歯よりも長くなることが多くなります。治療期間約3年で咬合および歯の並びが改善したため、動的治療を終了とした。
動的治療後は、ちゃんとした歯並びや、咬合を維持できるように、透明で目立ちにくいマウスピース型の保定装置を、取り外しのできない歯の裏側にワイヤーを装着し、歯並びを維持できるように保定を行っています。
動的治療後6ヶ月ら12ヶ月は食事と歯磨き以外の時間は使用してもらい、動的治療1年半になったら就寝時使用と徐々に使用時間を減少させていく予定となっております。2年経過後は、定期的な通院をするかご希望を伺って確認しております。
リスクと副作用:歯根吸収、歯肉退縮、後戻り、虫歯、痛み、歯肉炎、歯槽膿漏、歯周病
矯正専門クリニックの当院ではこのような治療が可能となります。
一度、東京都世田谷区の三軒茶屋デンタルデザイン歯列矯正歯科 https://www.sangenjaya-ortho.com にご相談ください
今回紹介したハーフリンガル矯正の症例
・八重歯症例
・前歯叢生症例
・歯列不正症例
ハーフリンガル矯正のよくある質問
Q 痛いですか?
ハーフリンガル矯正でも、装置を装着した直後やワイヤーを調整した後に軽い痛みや違和感を感じることがあります。
これは歯が動くための正常な反応で、通常は2〜3日程度で落ち着くことがほとんどです。
また、ハーフリンガル矯正は上の歯が裏側装置になるため、口元の見た目が自然で審美性が高いというメリットがあります。
当院では痛みをできるだけ軽減するために、
-
弱い力で歯を動かす矯正方法
-
痛みが出にくいワイヤーの使用
などを行っています。
Q 発音に影響はありますか?
ハーフリンガル矯正では、上の歯の裏側に装置がつくため、最初は少し話しにくさを感じる方もいます。
特に
-
「サ行」
-
「タ行」
などの発音に違和感が出る場合があります。
ただし、ほとんどの方は1〜2週間ほどで慣れて自然に話せるようになることが多いです。
表側矯正と比較すると、ハーフリンガル矯正は見た目が目立ちにくい矯正方法として多くの患者さんに選ばれています。
Q 治療期間はどれくらい?
ハーフリンガル矯正の治療期間は、歯並びの状態によって異なります
また、治療後は歯並びを安定させるために**保定装置(リテーナー)**を使用します。
Q 食事は普通にできますか?
基本的には普段通りの食事が可能です。
ただし、装置が外れないようにするため、以下のような食べ物には注意が必要です。
避けたほうがよい食べ物
-
硬い食べ物(氷・硬いせんべいなど)
-
粘着性のある食べ物(ガム・キャラメルなど)
-
とても固い肉など
食事の際は小さく切って食べることで装置への負担を減らすことができます。
ハーフリンガル矯正が適しているかどうかは
歯並びによって異なります。
当院ではカウンセリングで
・治療方法
・費用
・治療期間
を説明しています。
お気軽にご相談ください。
ハーフリンガル矯正での矯正治療のご予約・お問い合わせ
歯列を矯正治療してうまく噛める歯並びを得たいと検討されている方 なら、ぜひ当院にご相談ください。初めての方でも安心して治療を受けていただけるよう、丁寧な説明と親身な対応を心がけています。お問い合わせやご予約は、当院のホームページ(三軒茶屋デンタルデザイン歯列矯正歯科)からお気軽にどうぞ。当院では口腔内スキャナーのi-teroを利用した口腔内情報を再得して、3Dプリントされた歯列模型の模型を使用して裏側矯正(リンガル)の装置を作成します。
矯正治療を通じて、トラブル、失敗を避け美しい笑顔と健康な歯を手に入れるために、私たちと一緒に一歩を踏み出しましょう。お待ちしております。
矯正治療の選択肢にはそれぞれの特徴があり、患者様のニーズに応じた最適な方法を選ぶことが重要です。目立ちにくく取り外しのできるインビザラインやワイヤー矯正(内側に装置がつく裏側矯正(リンガル)、外側に装置がつく表側矯正の違い、デメリットとメリットを理解することで、より納得のいく後悔のしない治療を受けることができます。当院では、子供から成人(大人)までの患者様のライフスタイルや歯並びの状態から、希望する治療結果に合わせた最適な治療方法をご提案いたしますので、ぜひご相談ください。多くの 芸能人 、YouTuberなどの目立たない矯正を希望される方々も当院に来院いただいております。利用できる矯正装置も目立たないマウスピース型矯正装置、裏側矯正などのワイヤー矯正装置、一部のみ改善する部分矯正、子供の矯正(小児矯正)も可能です。症例も開咬、八重歯、出っ歯、受け口、すきっ歯など様々な症例も対応します。治療後は保定装置で綺麗な歯並びを最小限の変化で維持します。 矯正治療により口腔内の環境が変化します。矯正治療中は日常生活での歯ブラシの習慣が重要になってきます。
歯並びのことで質問やお悩みや不安などがある場合には、是非当院まで気軽にカウンセリングのご予約ください
当院は三軒茶屋駅から徒歩2分に位置しアクセスも良好です。土曜日、日曜日も診療し、お仕事帰りの方でも通える時間の夜20:30まで診療しています。
診療日は月 水 木 金 土 日 の上
休診 休診日 は火と祝日です。
虫歯やセラミックなどの被せ物やインプラントは、一般歯科での診療をお勧めしてます。親知らずの抜歯は口腔外科での受診をお勧めしております。
三軒茶屋デンタルデザイン歯列矯正歯科(clinic)
予約はこちら(ホーム ページ web) https://www.sangenjaya-ortho.com/contact/#link01
電話予約は 03-6805-5765
アクセスは
https://www.youtube.com/watch?v=6NxHyrl-kOI
Googleマップ:https://maps.app.goo.gl/7UG4wC7fUZMeXGPS9
歯科医(ドクター)、衛生士、受付、院長含めスタッフや院内の雰囲気がわかります。
インスタグラム https://www.instagram.com/sangenjayadental/
lineでも予約が可能です。

裏側矯正の安い費用(値段)で、、痛みの少ない後悔しない芸能人も 東京 札幌 福岡 全ての人に送るブログ
初投稿日: 2024年4月11日




