三軒茶屋デンタルデザイン歯列矯正歯科を運営する医療法人D.D.Orthoが監修しています。

監修者
内澤 朋哉
経歴
| 2009年 | 北海道医療大学歯学部卒業 |
|---|---|
| 2009年 | 北海道医療大学院歯学研究科 |
| 2014年 | 北海道医療大学歯学部歯科矯正学講座 |
| 2015年 | こうざき歯列矯正歯科クリニック勤務 |
| 2017年 | 三軒茶屋デンタルデザイン歯列矯正歯科開院 |
口ゴボは歯列矯正で改善できる?原因 治療法までわかりやすく解説
「横顔が気になる」「口元が前に出て見える」「口を閉じると唇に力が入る」——こうしたお悩みで検索されるのが、いわゆる口ゴボです。
口ゴボは見た目の印象だけでなく、口呼吸・乾燥・虫歯や歯周病リスクなど、口腔内環境(自浄作用:唾液の働き)にも関係することがあります。
この記事では、口ゴボの定義と原因、自分でできるチェック、そして歯科矯正(ワイヤー矯正・透明のマウスピース矯正(インビザライン))などの改善方法まで、初めての方にも丁寧にまとめます。
口ゴボとは?定義と特徴 見た目と影響について
口ゴボの定義と特徴
口ゴボとは一般的に、口元(唇まわり)が前方に突出して見える状態を指して使われます。
必ずしも「上の前歯だけが前に出ている」ケースに限らず、以下のように複数の要素が重なって起こることが多いのが特徴です。
口ゴボの主な特徴
-
横顔で、口元が前に出て見える(Eラインが気になる)
-
口を閉じると唇に力が入りやすい/閉じにくい 口唇閉鎖不全
-
口呼吸になりやすく、口の中が乾燥しやすい
-
笑った時に前歯が強く見える、歯茎が目立つと感じることがある
-
歯並び(叢生や出っ歯、上下顎前突)が関係している場合がある
口ゴボが起こる原因(概要)
原因は大きく分けて「骨格(顎の形・大きさ)」と「歯の傾き・位置(歯並び)」です。
骨格の影響が強い場合もあれば、歯科矯正で歯の位置を整えることで印象が大きく変わる場合もあります。「自力で治せるのでは?」と感じる方も多いですが、正確な判断には専門的な診断が重要です。
口ゴボの見た目と影響
口ゴボは、特に話している時・笑った時・横顔で目立ちやすく、本人のコンプレックスになりがちです。
見た目で起こりやすいこと
-
口元が前に出て見えることで、顔貌のバランスが気になる
-
「出っ歯っぽい」「口元がもこっとして見える」と感じる
-
口を閉じると顎先(オトガイ)に梅干しのようなシワが出る
心理的影響
-
写真を撮る時に横顔を避けたくなる
-
マスクを外す場面で不安になる
-
笑うのを控えてしまい、自信が低下することがある
健康への影響(口腔内環境)
口ゴボ傾向がある方は、口が開きやすく口呼吸になりやすいケースも。口の中が乾燥すると唾液の自浄作用が働きにくくなり、虫歯・歯周病・口臭のリスクが上がることがあります。噛み合わせに問題がある場合は、顎や筋肉への負担が強くなることもあります。
口ゴボの原因(先天的要因 後天的要因)
先天的要因
口ゴボには、遺伝などの先天的要因が関与することがあります。
-
骨格(顎の前後関係):上下顎が前方に位置している
-
歯列のスペース不足:前歯が前方へ押し出される
-
歯の傾きの遺伝的傾向:前歯が突出しやすい など
家族に似た口元の方がいる場合、骨格の影響が関係している可能性があります。骨格由来が強い場合は、歯科矯正だけでどこまで変えられるか、あるいは外科矯正が適応になるかを含めて診断が必要です。
後天的要因
後天的要因では、日常の癖や生活習慣が関わることがあります。
-
口呼吸:乾燥しやすく、唇が閉じづらい状態が続く
- 指しゃぶり・唇を噛む癖:前歯が前方へ移動しやすい
「昔は気にならなかったのに、最近口元が出てきた気がする」という方は、後天的要因の影響や、歯並びの変化(後戻りを含む)が関係しているケースもあります。
口ゴボのセルフチェック方法
簡単なチェックリスト
鏡を見ながら、次のポイントを確認してみてください。
-
口を自然に閉じた時、前歯が見える/唇が閉じにくい
-
口を閉じると、唇や顎先に強い力が入る
-
何もしていない時に、口が開きやすい(口呼吸になりがち)
- 横顔で、口元が前方に出て見える(写真で気になる)
※このチェックはあくまで目安です。軽度に見えても骨格や噛み合わせの影響がある場合があります。
専門医による診断の重要性
口ゴボは、歯並びだけが原因とは限りません。
歯列矯正で改善できるタイプなのか、抜歯が必要なのか、あるいは外科矯正が適応なのかは、以下の診断で精度が上がります。
-
口腔内診査(歯並び・噛み合わせ)
-
レントゲン・必要に応じてCT
-
顔貌(横顔)のバランス評価
「口ゴボの症状が気になる」「治しにくいと言われた」など不安がある方ほど、矯正歯科での正しい診断が近道です。
口ゴボが改善できない場合もあります。
基本的に、口ゴボを歯列矯正で改善できている場合は、歯列矯正治療によって前歯が後退することが大事となります
歯の上に唇がのっているため、歯が後退すると、歯の移動に伴い口唇が後退することで変化します。
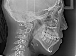
また基本的に歯は歯根と言われる根が骨の中に埋まっています。(下の図の右側)
矯正治療で歯に力を加えると歯は動きます。
しかし、移動方向に移動量の同等の幅の骨がないと歯根が骨から露出します(歯根露出)
そのため、レントゲン写真を撮影した結果骨が薄いと診断されると、
抜歯しても歯を内側に移動させることができないため、口ゴボの改善が難しくなります。
そのためレントゲン撮影でセファログラム(cephalogram 頭部X線規格写真)を撮影する必要があります。


抜歯をすれば前歯が下がって口ゴボの改善がするかというとそういうわけでもありません。
例えば下の症例のように、でこぼこが多く、抜歯したスペースを使用して八重歯などの改善を行なった症例では
前歯が大きく後退しないため、口唇が変わることが小さいです。
東京都世田谷区在住の20代男性が、八重歯を改善したいとのご希望で当院の歯列矯正相談にお越しいただきました。
歯列矯正装置はワイヤー矯正をご希望され、学生ということで治療費を抑えられる表側矯正を選択されました。
歯列のデコボコが目立ち八重歯になっていたため、上下左右1本ずつ計4本の抜歯を行いました。
治療期間は約22ヶ月で咬合および歯並びの改善が見られたため、動的治療を終了しました。
動的治療終了後は、整った歯並びと咬合を維持するために、透明で目立ちにくいマウスピース型の保定装置を使用しています。また、取り外しができないワイヤーを歯の裏側に装着し、歯列の安定を図っています。
動的治療終了後の6ヶ月から12ヶ月間は、食事や歯磨きの時間を除いて保定装置を使用していただきます。その後、動的治療から1年半経過時点で就寝時のみの使用に切り替え、徐々に使用時間を減らしていく予定です。治療開始から2年経過後は、患者様の希望を確認しながら定期的な通院を続けていきます。
【リスクと副作用】
歯根吸収、歯肉退縮、後戻り、虫歯、痛み、歯肉炎、歯槽膿漏、歯周病などが挙げられます。
口ゴボを矯正する方法 ワイヤー矯正?インビザライン?どっち?
ワイヤー矯正の特徴と効果
ワイヤー矯正は、ブラケットとワイヤーで歯を計画的に移動させる方法です。
口ゴボ改善においては、前歯の角度(突出)や歯列全体の位置を細かくコントロールしやすい点が強みです。
-
幅広い症例に対応しやすい
-
効果的な歯の移動が可能(大きい移動や回転など)
-
裏側矯正(舌側矯正)など、見た目に配慮した選択肢もある
詳しくは
マウスピース矯正の利点
透明なマウスピース(例:インビザライン等)を用いた歯列矯正は、見た目と快適性から人気が高い治療法です。
-
透明で目立ちにくい
-
取り外し可能で、歯磨きや食事がしやすい
-
装着感が比較的快適で、日常生活になじみやすい
口ゴボ(上下顎前突)の改善では、歯を「奥へ動かす」設計や奥歯のコントロール、必要に応じた抜歯など、治療計画の質が結果を左右します。適応かどうかを含めて診断が重要です。
インビザライン(マウスピース矯正)の基本的な効果とは?
インビザラインは、透明なマウスピース(アライナー)を使って歯を少しずつ動かす矯正方法です。インビザライン(マウスピース矯正)の最大の特徴は、装着してもほとんど目立たない透明性。営業職・接客業など、見た目を気にせず矯正ができます。
また、インビザライン(マウスピース矯正)での矯正はワイヤー矯正と比べて 口腔内トラブル(口内炎)や痛みが少ない のも特徴です。
ワイヤー矯正と比較すると、インビザライン(マウスピース矯正)のアライナーは滑らかな表面であること、また厚みも薄いため頬や唇と擦れることで生じる傷が生じづらくなります。
歯の動きは1枚につき約0.25mm前後と細かく調整され、理想的な位置へ歯を効果的に移動させます。
出っ歯(上顎前突)や叢生(ガタガタ)、うけ口、すきっ歯など、多くの症例に対応できます。
加えて、アライナー(インビザライン)は取り外し式なので、ホワイトニングを同時に行える場合もあります。

外科的矯正の選択肢
骨格(顎の大きさ・位置)の影響が強い重度症例では、外科矯正が選択肢になる場合があります。
-
顎のズレが大きい不正咬合
-
歯の移動だけでは改善が難しい骨格性の突出
-
噛み合わせの機能改善を重視したいケース
手術にはリスクもありますが、適応が合えば安定した改善が期待できます。矯正歯科と口腔外科の連携が必要になるため、十分なカウンセリングが欠かせません。

東京都在住の20代女性が、前歯の叢生(でこぼこ)と口唇の突出感の改善を希望し、当院に矯正相談で来院されました。
治療方法については、目立ちにくい装置をご希望されており、「インビザライン」と「フルリンガル(裏側矯正)」で検討された結果、最終的にハーフリンガル矯正(上顎:裏側矯正 下顎:表側矯正)を選択されました。
治療方針としては、ご本人が口唇の突出感の改善を強く希望されていたため、上下左右の第一小臼歯を1本ずつ抜歯する方針となりました。
動的治療は約2.5年間で終了し、現在はマウスピース型保定装置(リテーナー)にて保定を行っております。
動的治療終了後6〜12ヶ月間は、食事と歯磨きの時間を除き、常時装着をお願いしています。その後、1年半を目安に就寝時のみの使用へと移行し、段階的に使用時間を減らす予定です。2年経過後は、保定状況やご希望に応じて定期的な通院を継続いただいております。
【リスク・副作用について】
歯根吸収、歯肉退縮、後戻り、虫歯、痛み、歯肉炎、歯周病などの可能性があります。
【治療結果について】
抜歯により生じたスペースを利用して前歯を後退させた結果、口唇も後方に下がり、歯並びや横顔のプロファイルにおいてバランスの取れた仕上がりとなりました(動画をご参照ください)。
なお、口唇の変化量は一般的に歯の移動量の1/2〜1/3程度と言われておりますが、年齢や口唇の厚み・硬さなどの個人差により変動します。そのため、矯正治療において口唇の後退量を正確にコントロールすることは困難です。
口ゴボ矯正のメリット デメリット 費用 期間とは?
口ゴボ歯列矯正のメリット
見た目の改善
口元の突出感が整うと、横顔の印象や顔貌バランスが変わり、審美的な満足度が上がる方が多いです。
(※実際にどこまで変化するかは症例により異なります)
健康面での利点
歯列矯正は見た目だけでなく、機能面にもメリットがあります。
口ゴボを放置するリスク
心理的影響
口元のコンプレックスは、自己評価や対人関係に影響することがあります。
口腔健康への影響
口ゴボを放置すると、歯並びや噛み合わせの問題が進行する可能性があります。
-
歯並びがさらに乱れ、清掃性が悪くなる
-
噛み合わせの負担が偏り、顎や筋肉に影響することがある
-
乾燥や口臭、虫歯・歯周病リスクが高まることがある(唾液の働き低下)
一般的な費用の目安
口ゴボの歯列矯正費用は、治療法・難易度・抜歯の有無・装置の種類(表側/裏側/マウスピース)で大きく変わります。
そのため「安く済ませたい」「全体の料金が知りたい」という場合でも、まずは診断が必要です。
-
治療法によって料金体系が異なる
-
条件により保険適用の可能性(外科矯正など)が出る場合もある
-
初回カウンセリングで概算と選択肢を整理できる
当院での歯科矯正治療費
例えば当院で治療したとしたら
当院での裏側矯正費用の値段は「上限明示システム」を提示しています。
治療前に裏側矯正費用の「下限費用」と「上限費用」の値段を提示します。
予定通り進めば矯正の治療費用を安くできます、治療期間が延びてしまっても、上限以上の値段の治療費用はかかりません。
表側矯正の治療費用は77万円から開始し、6から8週 経過すると定期的な来院をしていただき、処置料として費用5,500円かかります
処置料の値段の合計費用には上限があるため、上限費用以上の治療費用はかかりません。

治療期間の目安
-
歯並び、噛み合わせの状況、また抜歯、非抜歯によって期間が長くなったり短くなったりします。
-
定期的な通院(調整)が成功の鍵となります。
「痛みが心配」「長く通えるか不安」なども、計画を立てる段階で丁寧に確認しておくと安心です。
無料カウンセリングの重要性 カウンセリングで得られる情報
口ゴボは原因が複合的なため、ネット情報だけで自己判断しない方が安全です。
カウンセリングでは、専門家の目であなたの状態を評価し、治療の方向性を整理できます。
-
専門家の意見を直接聞ける
-
自分の口ゴボの「原因(歯列/骨格/習慣)」を理解できる
-
治療法(ワイヤー/マウスピース/抜歯/外科矯正など)の選択肢がわかる
-
症例ベースでイメージがつきやすい
「気軽に相談したい」「まずは話だけ聞きたい」という方にとって、初回相談は大きなメリットがあります。
治療計画の立て方
治療計画は、患者さんの希望(見た目・期間・費用・装置の目立ちにくさ)と、医学的な適応をすり合わせて作ります。
-
個別ニーズに基づいて計画を作成
-
治療期間・費用・通院頻度を明確にする
-
治療後の予想結果(ゴール)を共有する
院長や担当医が丁寧に診断し、納得のいく計画を一緒に作れるクリニックを選ぶことが、満足度の高い矯正治療につながります。
まとめ:口ゴボは「原因の見極め」から。歯列矯正で変わる可能性があります
口ゴボは、歯並び(前歯の突出、上下顎前突)だけでなく、骨格や口呼吸などの習慣も関係します。
だからこそ、まずは正確な診断で「何が原因か」を把握し、あなたに合う歯科矯正方法(ワイヤー矯正/透明マウスピース矯正/必要に応じて抜歯・外科矯正)を選ぶことが大切です。
口元の印象を変えたい、横顔が気になる、口が閉じにくい——そんなお悩みがある方は、まずはカウンセリングで一度整理してみてください。
歯科矯正相談のご予約・お問い合わせ
矯正治療を検討されている方 なら、ぜひ当院にご相談ください。初めての方でも安心して後悔しない治療を受けていただけるよう、丁寧な説明と親身な対応を心がけています。お問い合わせやご予約は、当院のホームページ(三軒茶屋デンタルデザイン歯列矯正歯科)からお 気 軽にどうぞ。
当院では口腔内スキャナーのi-teroを利用した口腔内情報を再得して、3Dプリントされた歯列模型の模型を使用して裏側矯正の装置を作成します。
矯正治療を通じて、トラブル、失敗を避け美しい笑顔と健康な歯を手に入れるために、私たちと一緒に一歩を踏み出しましょう。お待ちしております。
矯正治療の選択肢にはそれぞれの特徴があり、患者様のニーズに応じた最適な方法を選ぶことが重要です。目立ちにくく取り外しのできるインビザラインやワイヤー矯正(内側に装置がつく裏側矯正、外側に装置がつく表側矯正)の違い、デメリットとメリットを理解することで、より納得のいく治療を受けることができます。当院では、子供から成人(大人)までの患者様のライフスタイルや歯並びの状態から、希望する治療結果に合わせた最適な治療方法をご提案いたしますので、ぜひご相談ください。多くの芸能人、YouTuberなどの目立たない矯正を希望される方々も当院に来院いただいております。利用できる矯正装置も目立たないマウスピース型矯正装置、ハーフリンガル、裏側矯正などのワイヤー矯正装置、部分矯正、子供の矯正(小児矯正)も可能です。症例も開咬、八重歯、出っ歯、受け口、すきっ歯など様々な症例も対応します。治療後は保定装置(リテイナー)で綺麗な歯並びを最小限の変化で維持します。 歯科矯正治療により口腔内の環境が変化します。歯科矯正治療中は日常生活での歯ブラシの習慣が重要になってきます。
歯並びのことで質問やお悩みや不安などがある場合には、是非当院まで気軽に無料カウンセリングのご予約ください
当院は三軒茶屋駅から徒歩2分に位置しアクセスも良好です。土曜日、日曜 も診療し、お仕事帰りの方でも通える時間の夜20:30まで診療しています。
診療日は月 水 木 金 土 日 の上
休診 休診日 は火と祝日です。
虫歯の保険診療やセラミックなどの被せ物やインプラント、ホワイトニングは、一般歯科での診療をお勧めしてます。親知らずの抜歯は口腔外科での受診をお勧めしております。
三軒茶屋デンタルデザイン歯列矯正歯科(clinic)
住所: 東京都世田谷区三軒茶屋1-32-14 園田ビル地下1階
医院の電話予約: 03-6805-5765
予約はこちら(ホーム ページ web) https://www.sangenjaya-ortho.com/contact/#link01
アクセスは:https://youtu.be/c9kyUtjU2cU
https://www.youtube.com/watch?v=6NxHyrl-kOI
歯科医師(ドクター)、衛生士、受付、院長含めスタッフや院内の雰囲 気がわかります。
インスタグラム https://www.instagram.com/sangenjayadental/
l

Lineでも予約が可能です。





