三軒茶屋デンタルデザイン歯列矯正歯科を運営する医療法人D.D.Orthoが監修しています。

監修者
内澤 朋哉
経歴
| 2009年 | 北海道医療大学歯学部卒業 |
|---|---|
| 2009年 | 北海道医療大学院歯学研究科 |
| 2014年 | 北海道医療大学歯学部歯科矯正学講座 |
| 2015年 | こうざき歯列矯正歯科クリニック勤務 |
| 2017年 | 三軒茶屋デンタルデザイン歯列矯正歯科開院 |
八重歯はインビザライン矯正で治せる?原因・リスク・治療方法・費用まで徹底解説
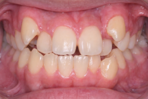
八重歯(叢生)の定義と特徴について解説
八重歯とは何か
八重歯とは、歯が本来生える位置から外れて萌出し、歯列から飛び出した状態を指します。日本では特に上顎の犬歯が前方や外側にずれて生えるケースが多く、「ガタガタした歯並び(叢生)」の一種として扱われます。
歯が生えるためのスペースが不足している場合、小臼歯や前歯が押し合い、結果として八重歯が生じます。数ヶ月〜数年の成長過程で徐々に目立つようになることも多く、希望として「自然に治らないか」と相談される方も少なくありません。
八重歯の特徴と見た目
八重歯は前歯付近に現れやすく、歯並び全体が大きく乱れて見えるのが特徴です。犬歯が前に出ることで、出っ歯のような印象を与えたり、歯肉が強調されて見えたりすることもあります。
一方で「かわいい」と言われることもありますが、奥歯との噛み合わせに影響する場合も多く、見た目だけでなく機能面の問題を抱えているケースも豊富です。現在ではマウスピース型矯正装置の一種であるインビザライン矯正など、目立たず改善できる治療法が選択肢として広がっています。
八重歯の原因とリスクについて解説
八重歯が発生する主な原因
八重歯(叢生)の原因として最も多いのが遺伝的要因です。顎の大きさや歯のサイズは親から受け継がれるため、家族に叢生の悩みがある場合、同様の歯並びになる可能性があります。
また歯の生える順番(萌出順番)が関与する場合があります。
歯が生えてくる順番も八重歯の形成に影響します。通常、乳歯が抜けるとその場所に永久歯が生えてきますが、
特に犬歯(八重歯)が八重歯になりやすいのは、この歯が他の歯よりも後に生えてくるためです。前歯や小臼歯が既に並んでしまった後に犬歯が生えるため、スペースが足りずに正しい位置に並ぶことができないのです。
八重歯を治療しないリスク
八重歯を放置すると、噛み合わせが不安定になり、食事のしにくさや顎への負担が生じます。また、歯が重なっている部分は清掃が難しく、虫歯や歯周病のリスクが高まります。
さらに見た目へのコンプレックスから心理的な負担を感じる方も多く、歯科医師の立場からも早めの相談が推奨されます。必要に応じて抜歯を含めた治療計画を立てることで、将来的なリスクを少なくすることが可能です。
インビザラインによる八重歯の治療方法について解説
インビザラインの基本的な治療方法
インビザライン矯正は、透明なマウスピース(アライナー)を使用して歯を少しずつ動かす治療方法です。歯科医が口腔内をスキャンし、デジタル技術を用いて治療計画を作成します。
計画に基づき、個別にカスタマイズされたアライナーを段階的に交換しながら、八重歯を含む歯列全体を整えていきます。一般的なワイヤー矯正と比べ、目立ちにくく日常生活への影響が少ないのが特徴です。
インビザラインのメリットとデメリット
メリットとしては、透明で目立たない点、取り外し可能で食事や歯磨きがしやすい点が挙げられます。歯列や歯の位置に与える影響を事前にシミュレーションできるのも安心材料です。
一方、装着時間を守らないと治療期間が延びる可能性があり、自己管理が必要です。デメリットを理解したうえで選択することが大切です。
インビザライン治療の流れ
初診カウンセリング → 精密検査・診断 → 治療計画作成 → マウスピース装着 → 定期チェック、という流れで進行します。治療中は装置を調整しながら、計画通り歯を移動させていきます。
八重歯の治療にかかる費用と期間について解説
八重歯治療の費用の目安
費用は治療方法によって異なり、インビザライン矯正は全体矯正で数十万円〜が目安です。無料相談を行っている医院も多く、治療計画に応じて費用が決まります。保険適用外となるケースが一般的です。
八重歯矯正の期間を短くする方法
矯正期間は歯並びや噛み合わせの状況によって、また治療計画によって差が出ます。また、定期的な通院、装置の正しい使用、歯磨きなどのセルフケアを徹底することが大事となります。
治療前と治療後の実際の治療結果を使用して症例紹介
動的治療後は、ちゃんとした歯並びや、咬合を維持できるように、透明で目立ちにくいマウスピース型の保定装置を装着し、歯並びを維持できるように保定を行っています。
動的治療後6ヶ月ら12ヶ月は食事と歯磨き以外の時間は使用してもらい、動的治療1年半になったら就寝時使用と徐々に使用時間を減少させていく予定となっております。2年経過後は、定期的な通院をするかご希望を伺って確認しております。
リスクと副作用:歯根吸収、歯肉退縮、後戻り、虫歯、痛み、歯肉炎、歯槽膿漏、歯周病
リスクと副作用:歯根吸収、歯肉退縮、後戻り、虫歯、痛み
インビザライン治療の注意点とリスクについて解説
インビザライン治療の注意点
1日20時間以上の装着が必要で、治療期間の理解と自己管理が不可欠です。IPR(歯の隙間調整)や保定期間についても事前説明を受けることが大切です。
インビザライン治療の適応外ケース
重度のスペース不足や顎の拡大が必要な場合、ワイヤー矯正が適することもあります。マウスピースだけでは対応が難しいケースもあるため、歯科医との相談が重要です。
八重歯矯正のインビザライン治療に関するよくある質問
患者の声や実績
「痛みが少なかった」「仕事中も気にならない」など、患者の満足度は高く、多くの経験談が治療選択の参考になります。
カウンセリングと診断の重要性
初診カウンセリングでは、診断内容・治療の程度・選択肢をしっかり説明することが重要です。患者一人ひとりに合った治療計画を立てることで、インビザライン矯正の成功率は大きく高まります。
まとめ
八重歯(叢生)は見た目だけでなく、噛み合わせや健康にも影響します。インビザライン矯正は、目立たず快適に八重歯を整えたい方にとって有力な選択肢です。まずは信頼できる矯正歯科でのカウンセリングから始めましょう。
矯正相談のご予約・お問い合わせ
矯正治療を検討されている方 なら、ぜひ当院にご相談ください。初めての方でも安心して後悔しない治療を受けていただけるよう、丁寧な説明と親身な対応を心がけています。お問い合わせやご予約は、当院のホームページ(三軒茶屋デンタルデザイン歯列矯正歯科)からお 気 軽にどうぞ。
当院では口腔内スキャナーのi-teroを利用した口腔内情報を再得して、3Dプリントされた歯列模型の模型を使用して裏側矯正の装置を作成します。
矯正治療を通じて、トラブル、失敗を避け美しい笑顔と健康な歯を手に入れるために、私たちと一緒に一歩を踏み出しましょう。お待ちしております。
矯正治療の選択肢にはそれぞれの特徴があり、患者様のニーズに応じた最適な方法を選ぶことが重要です。目立ちにくく取り外しのできるインビザラインやワイヤー矯正(内側に装置がつく裏側矯正、外側に装置がつく表側矯正)の違い、デメリットとメリットを理解することで、より納得のいく治療を受けることができます。当院では、子供から成人(大人)までの患者様のライフスタイルや歯並びの状態から、希望する治療結果に合わせた最適な治療方法をご提案いたしますので、ぜひご相談ください。多くの芸能人、YouTuberなどの目立たない矯正を希望される方々も当院に来院いただいております。利用できる矯正装置も目立たないマウスピース型矯正装置、ハーフリンガル、裏側矯正などのワイヤー矯正装置、部分矯正、子供の矯正(小児矯正)も可能です。症例も開咬、八重歯、出っ歯、受け口、すきっ歯など様々な症例も対応します。治療後は保定装置(リテイナー)で綺麗な歯並びを最小限の変化で維持します。 歯科矯正治療により口腔内の環境が変化します。歯科矯正治療中は日常生活での歯ブラシの習慣が重要になってきます。
歯並びのことで質問やお悩みや不安などがある場合には、是非当院まで気軽に無料カウンセリングのご予約ください
当院は三軒茶屋駅から徒歩2分に位置しアクセスも良好です。土曜日、日曜 も診療し、お仕事帰りの方でも通える時間の夜20:30まで診療しています。
診療日は月 水 木 金 土 日 の上
休診 休診日 は火と祝日です。
虫歯の保険診療やセラミックなどの被せ物やインプラント、ホワイトニングは、一般歯科での診療をお勧めしてます。親知らずの抜歯は口腔外科での受診をお勧めしております。
三軒茶屋デンタルデザイン歯列矯正歯科(clinic)
住所: 東京都世田谷区三軒茶屋1-32-14 園田ビル地下1階
医院の電話予約: 03-6805-5765
予約はこちら(ホーム ページ web) https://www.sangenjaya-ortho.com/contact/#link01
アクセスは:
https://www.youtube.com/watch?v=6NxHyrl-kOI
歯科医師(ドクター)、衛生士、受付、院長含めスタッフや院内の雰囲 気がわかります。
インスタグラム https://www.instagram.com/sangenjayadental/
l

Lineでも予約が可能です。







